• 您好! 请登录  |  注册
  • U实验
  • 会员中心 
    我的订单 我的评价 我的余额 我的红包 我的收藏 修改收货地址
U商城-普拉特泽生物
服务热线:

4006916686

商品分类
人源
大鼠源
小鼠源
仓鼠源
猪源
猴源
牛源
昆虫源
兔源
鸡源
负鼠源
鸭源
猫源
狗源
绿猴源
羊源
其他源
  • 首页
  • 实验官网
  • 细胞系
  • 原代细胞
  • 质粒载体
  • cDNA克隆
  • ORF克隆
  • 菌株
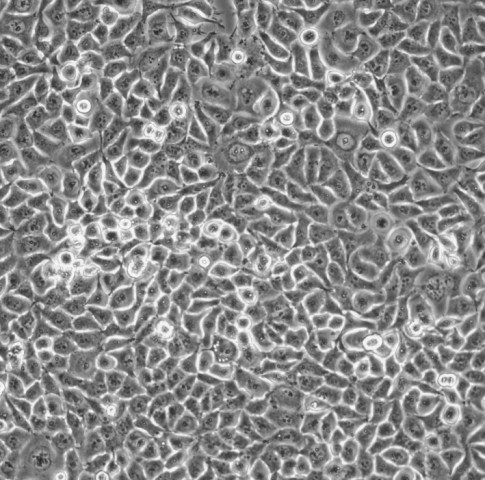
首页 > 细胞系 > 人源 > CNE-1细胞;人鼻咽癌细胞
CNE-1细胞;人鼻咽癌细胞
  • CNE-1细胞;人鼻咽癌细胞
U平台
CNE-1细胞;人鼻咽癌细胞
  • 商城价:询价 ¥0元 会员折扣

    会员价格

    会员等级 会员价格
    注册用户 ¥0元
    vip ¥0元
  • 最近售出0件(已有 1395 人关注)
  • 购买此商品可使用:0积分
数量
- + 库存(载入中···)



加入购物车 在线咨询 收藏
  • 商品简介
  • 购买记录
  • 顾客评价()
基本信息
  • 产品名称: CNE-1细胞;人鼻咽癌细胞
  • 产品编号: CL0071
  • 细胞数量: 1*10^6
  • 组织来源: 鼻咽癌
  • 细胞种属: 人源
  • 生长特性: 贴壁
  • 培养基: RPMI-1640
  • 细胞冻存: 液氮冻存(冻存液基础培养基+20%FBS+10%DMSO)
  • 细胞运输: 干冰运输(2ml冻存管)或活细胞运输(T25瓶)
注意事项
冻存细胞接收后的处理:
1.干冰运输,收到细胞后立即转入-80℃冰箱短暂中转或直接复苏;
2.收到细胞后,若发现干冰已经完全挥发、冻存管瓶盖破裂脱落,请立即拍照后与我们联系。

复苏细胞接收后的处理:
1.收到细胞后,请首先检查培养瓶是否破损或漏液,培养液是否混浊,如有漏液及培养液混浊情况请立即拍照把图片发给我们。
2.75%酒精消毒瓶身后放培养箱中静置4-6h后,在显微镜下确认细胞状态并拍照100倍和200倍的照片,若有贴壁细胞脱落,可收集上清离心,将沉淀用新的培养基接种至新的培养瓶或培养皿中。
3.建议收到当天不要消化处理,如果细胞长满90%,可选择传代处理。
4.如您收到细胞3天内没有反馈相关问题,出现的细胞问题将不提供免费重发服务。

细胞培养方法:
1、细胞传代:细胞密度达到80-90%时即可传代
①弃去培养上清,用PBS或生理盐水清洗1-2次;
②加入2ml0.25%胰酶(T25瓶),使胰酶覆盖整个瓶或皿,盖好放入培养箱消化;
③1-2min后,显微镜下观察细胞,若大部分细胞回缩且有少量细胞脱落,轻轻吹打下确认消化情况后加入完全培养基终止消化;若细胞还是贴壁,放回培养箱继续消化至可以轻轻吹打下为止;
④将细胞悬液1000RPM左右条件下离心4min,弃上清;
⑤用新鲜培养基重悬后加入培养瓶或皿中,T25培养瓶加6-8ml培养基;
⑥悬浮细胞直接离心收集,细胞沉淀重悬后分到新培养瓶中。
2、细胞复苏:
①将冻存管在37℃温水中快速摇晃融化,时间1min左右,加入4-5ml培养基混匀。
②在1000RPM左右条件下离心4min,弃上清,加1-2ml培养基吹匀,将细胞悬液加入培养瓶中,补加适量培养基。
3、细胞冻存:待细胞生长状态良好时进行细胞冻存保种
①弃去培养上清,用PBS或生理盐水清洗1-2次,加入1mL 0.25%胰蛋白酶(T25瓶)
②1-2min后,显微镜下观察细胞,大部分细胞回缩且有少量细胞脱落,轻轻吹打下确认消化情况后加入完全培养基终止消化;
③将细胞悬液1000RPM左右条件下离心4min,弃上清,加1ml冻存液重悬细胞;
④将冻存管放入程序降温盒,放入-80℃冰箱,4小时后将冻存管转入液氮罐储存。

▍购买记录(近期成交数量0)

还没有人购买过此商品
总计 0 个记录,共 1 页。 第一页 上一页 下一页 最末页

▍用户评论(共0条评论)

  • 暂时还没有任何用户评论
总计 0 个记录,共 1 页。 上一页 下一页
用户名: 匿名用户
E-mail:
评价等级:
评论内容:
验证码: captcha
▍最近浏览过的商品
购物车(0)
联
系
客
服

U商城

  • 订购指南

    订购方式
  • 售后服务

    免责协议 售后政策
  • 关于我们

    联系我们 关于U商城

联系我们

客服热线:4006916686

在线客服

关注我们

© 2005-2026 U商城-普拉特泽生物 版权所有,并保留所有权利。ICP备案证书号:湘ICP备17023651号